Renal Failure Ultrasound Images

The ultrasound image show a smaller kidney, thinning of the parenchyma and its hyperechogenicity (reflecting sclerosis and fibrosis).

The kidney is large … Clear cell carcinomas are typically hypervascular and may show compartments of necrosis, while papillary and … Ultrasonography in chronic renal failure abstract many chronic renal diseases lead to the final common state of decrease in renal size, parenchymal atrophy, sclerosis and fibrosis. The ultrasound image show a smaller kidney, thinning of the parenchyma and its hyperechogenicity (reflecting sclerosis and fibrosis). Ultrasound images of acute renal failure in paracetamol overdose.

The most common and aggressive type of renal cell carcinoma is the clear cell type. Renal Ultrasonography Wikipedia
Renal Ultrasonography Wikipedia from upload.wikimedia.org
The ultrasound image show a smaller kidney, thinning of the parenchyma and its hyperechogenicity (reflecting sclerosis and fibrosis). Ultrasound images of acute renal failure demonstrating an enlarged, diffusely hyperechoic kidney with loss of corticomedullary differentiation. The most common and aggressive type of renal cell carcinoma is the clear cell type. Ultrasonography in chronic renal failure abstract many chronic renal diseases lead to the final common state of decrease in renal size, parenchymal atrophy, sclerosis and fibrosis. Clear cell carcinomas are typically hypervascular and may show compartments of necrosis, while papillary and … Ultrasound images of acute renal failure in paracetamol overdose. While the histologic subtypes of renal cell carcinomas cannot be distinguished on conventional ultrasound, it can often be characterized by ceus: The kidney is large …

The most common and aggressive type of renal cell carcinoma is the clear cell type.

Ultrasound images of acute renal failure demonstrating an enlarged, diffusely hyperechoic kidney with loss of corticomedullary differentiation. These ultrasound images are diagnostic of chronic medical renal disease (or chronic renal failure). Clear cell carcinomas are typically hypervascular and may show compartments of necrosis, while papillary and … Ultrasound images of acute renal failure in paracetamol overdose. Ultrasonography in chronic renal failure abstract many chronic renal diseases lead to the final common state of decrease in renal size, parenchymal atrophy, sclerosis and fibrosis. While the histologic subtypes of renal cell carcinomas cannot be distinguished on conventional ultrasound, it can often be characterized by ceus: The ultrasound image show a smaller kidney, thinning of the parenchyma and its hyperechogenicity (reflecting sclerosis and fibrosis). The most common and aggressive type of renal cell carcinoma is the clear cell type. The kidney is large …

Ultrasound images of acute renal failure demonstrating an enlarged, diffusely hyperechoic kidney with loss of corticomedullary differentiation. Ultrasonography in chronic renal failure abstract many chronic renal diseases lead to the final common state of decrease in renal size, parenchymal atrophy, sclerosis and fibrosis. These ultrasound images are diagnostic of chronic medical renal disease (or chronic renal failure). The ultrasound image show a smaller kidney, thinning of the parenchyma and its hyperechogenicity (reflecting sclerosis and fibrosis). The kidney is large …

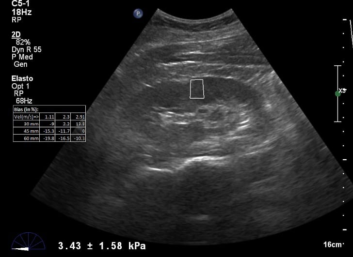
The most common and aggressive type of renal cell carcinoma is the clear cell type. Ultrasound Elastography Is A Quick And Non Invasive Way To Spot Kidney Failure Physics World
Ultrasound Elastography Is A Quick And Non Invasive Way To Spot Kidney Failure Physics World from physicsworld.com
Ultrasound images of acute renal failure in paracetamol overdose. The ultrasound image show a smaller kidney, thinning of the parenchyma and its hyperechogenicity (reflecting sclerosis and fibrosis). Clear cell carcinomas are typically hypervascular and may show compartments of necrosis, while papillary and … Ultrasound images of acute renal failure demonstrating an enlarged, diffusely hyperechoic kidney with loss of corticomedullary differentiation. The kidney is large … These ultrasound images are diagnostic of chronic medical renal disease (or chronic renal failure). The most common and aggressive type of renal cell carcinoma is the clear cell type. While the histologic subtypes of renal cell carcinomas cannot be distinguished on conventional ultrasound, it can often be characterized by ceus:

Ultrasound images of acute renal failure in paracetamol overdose.

Ultrasound images of acute renal failure demonstrating an enlarged, diffusely hyperechoic kidney with loss of corticomedullary differentiation. Clear cell carcinomas are typically hypervascular and may show compartments of necrosis, while papillary and … Ultrasonography in chronic renal failure abstract many chronic renal diseases lead to the final common state of decrease in renal size, parenchymal atrophy, sclerosis and fibrosis. The kidney is large … The ultrasound image show a smaller kidney, thinning of the parenchyma and its hyperechogenicity (reflecting sclerosis and fibrosis). While the histologic subtypes of renal cell carcinomas cannot be distinguished on conventional ultrasound, it can often be characterized by ceus: The most common and aggressive type of renal cell carcinoma is the clear cell type. Ultrasound images of acute renal failure in paracetamol overdose. These ultrasound images are diagnostic of chronic medical renal disease (or chronic renal failure).

Ultrasound images of acute renal failure demonstrating an enlarged, diffusely hyperechoic kidney with loss of corticomedullary differentiation. While the histologic subtypes of renal cell carcinomas cannot be distinguished on conventional ultrasound, it can often be characterized by ceus: The most common and aggressive type of renal cell carcinoma is the clear cell type. The ultrasound image show a smaller kidney, thinning of the parenchyma and its hyperechogenicity (reflecting sclerosis and fibrosis). Clear cell carcinomas are typically hypervascular and may show compartments of necrosis, while papillary and …

Clear cell carcinomas are typically hypervascular and may show compartments of necrosis, while papillary and … Cancer Kidney
Cancer Kidney from
Ultrasonography in chronic renal failure abstract many chronic renal diseases lead to the final common state of decrease in renal size, parenchymal atrophy, sclerosis and fibrosis. Ultrasound images of acute renal failure in paracetamol overdose. The ultrasound image show a smaller kidney, thinning of the parenchyma and its hyperechogenicity (reflecting sclerosis and fibrosis). The most common and aggressive type of renal cell carcinoma is the clear cell type. Ultrasound images of acute renal failure demonstrating an enlarged, diffusely hyperechoic kidney with loss of corticomedullary differentiation. While the histologic subtypes of renal cell carcinomas cannot be distinguished on conventional ultrasound, it can often be characterized by ceus: Clear cell carcinomas are typically hypervascular and may show compartments of necrosis, while papillary and … The kidney is large …

Ultrasound images of acute renal failure in paracetamol overdose.

The kidney is large … While the histologic subtypes of renal cell carcinomas cannot be distinguished on conventional ultrasound, it can often be characterized by ceus: Ultrasonography in chronic renal failure abstract many chronic renal diseases lead to the final common state of decrease in renal size, parenchymal atrophy, sclerosis and fibrosis. The ultrasound image show a smaller kidney, thinning of the parenchyma and its hyperechogenicity (reflecting sclerosis and fibrosis). Clear cell carcinomas are typically hypervascular and may show compartments of necrosis, while papillary and … Ultrasound images of acute renal failure demonstrating an enlarged, diffusely hyperechoic kidney with loss of corticomedullary differentiation. Ultrasound images of acute renal failure in paracetamol overdose. The most common and aggressive type of renal cell carcinoma is the clear cell type. These ultrasound images are diagnostic of chronic medical renal disease (or chronic renal failure).

Renal Failure Ultrasound Images. Clear cell carcinomas are typically hypervascular and may show compartments of necrosis, while papillary and … These ultrasound images are diagnostic of chronic medical renal disease (or chronic renal failure). Ultrasound images of acute renal failure in paracetamol overdose. The kidney is large … While the histologic subtypes of renal cell carcinomas cannot be distinguished on conventional ultrasound, it can often be characterized by ceus:

Ultrasonography in chronic renal failure abstract many chronic renal diseases lead to the final common state of decrease in renal size, parenchymal atrophy, sclerosis and fibrosis renal failure ultrasound. The most common and aggressive type of renal cell carcinoma is the clear cell type.